根尖膿瘍(こんせんのうよう)
歯周病が進行して歯の根っこに膿がたまることを根尖膿瘍と呼びます。
歯の根っこの下にたまった膿は歯がある限り体外へ排泄されません。歯が抜けてしまえばそこから膿は排泄されます(にきびがつぶれた時のように)。歯が抜けないと、たまった膿はアゴの骨を溶かして皮膚→体外へと瘻管(ろうかん)を形成していきます。皮膚の下が腫れあがり、最終的には血膿がドロッとでてきます。
来院理由
この子は、左下顎あたりが腫れたという主訴で来院されました。状況からは
1.唾液腺炎
2.外傷からの皮膚の化膿
3.腫瘍
4.歯科疾患を含めた口腔内病変
の4点が疑われました。鎮静・麻酔下での口腔内検査を2週間後に予定して、それまでの
間、抗生物質の飲み薬を処方して経過観察としました。
写真は口腔内検査当日のものです。左下アゴの腫れはなくなっており、皮膚が再生しています。
口の中に腫瘍はありませんでした。唾液腺の異常もみあたりません。
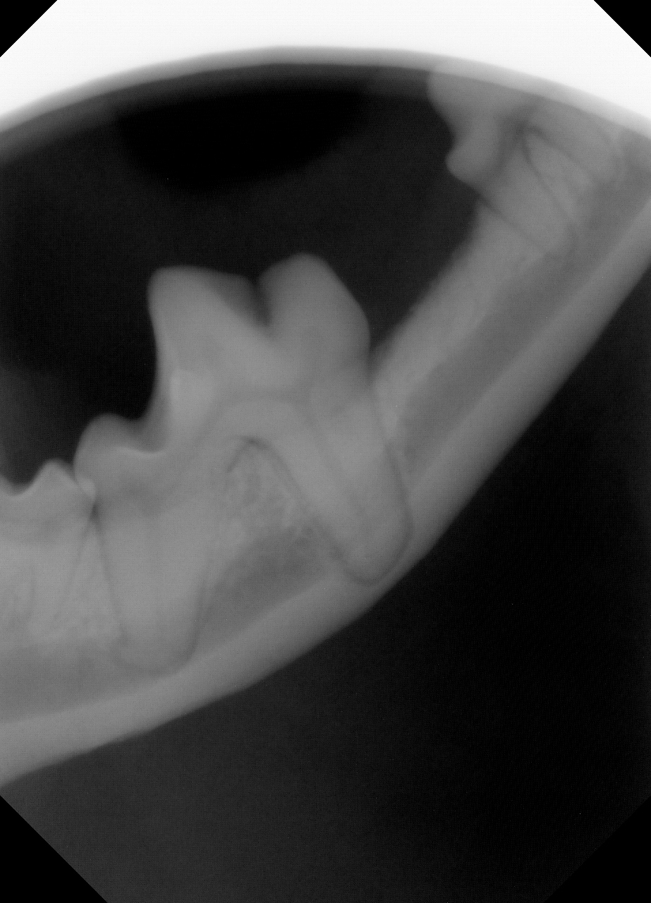
その次に歯科用レントゲンで歯とアゴの骨のレントゲンを撮影してみたところ......
処置
病変部を切開して内部の洗浄と抗生物質を注入し、粘膜を縫合して終了としました。
後から飼主様に確認すると、歯科処置までの間に自宅で臼歯が一本抜けていたことがわかりました。
他の根尖膿瘍がおきやすい場所は
1.上アゴ臼歯の場合
眼の下あたりが腫れて、排膿する。
2.上アゴ犬歯の場合
鼻腔内に排膿されるので、緑色の鼻水とくしゃみ。
歯周病が重度になるとアゴの骨が溶けていき、最悪の場合、骨折してしまいます。歯のケア
を積極的に行っていくことで、歯周病のリスクを減らすことができます。幼少期からの習慣づけ
が大切ですが、成犬からデンタルケアを始めることも十分可能です。
デンタルケアについて興味を持たれた方は、口の中の健康について当院のスタッフにお尋ねください。